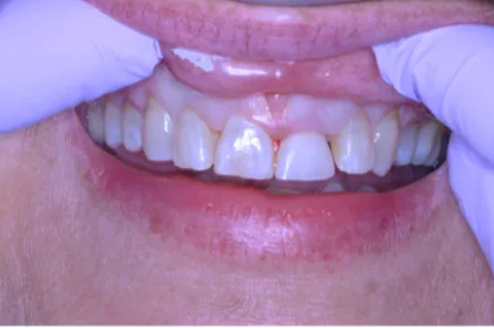
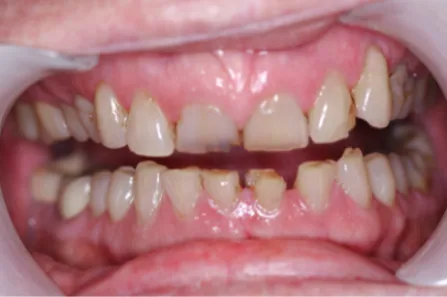
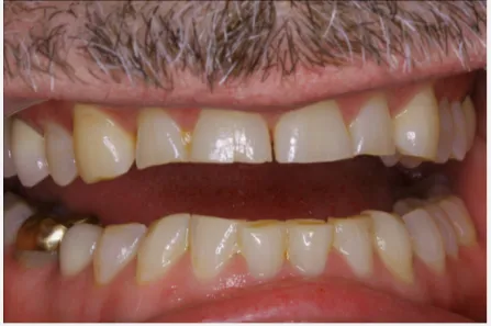
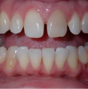
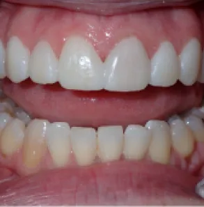
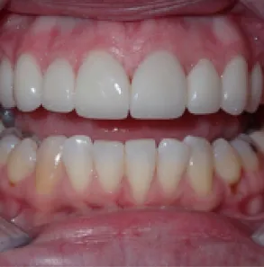
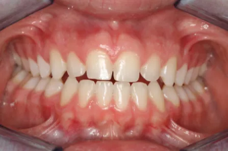
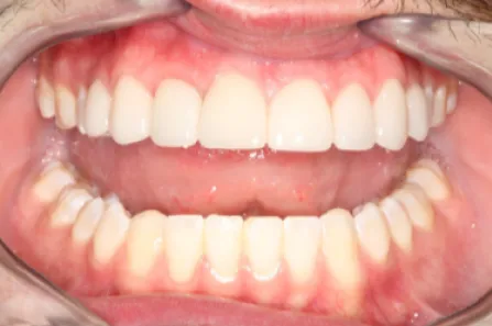
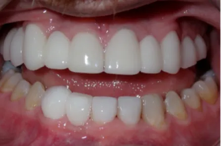
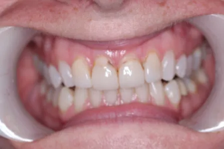
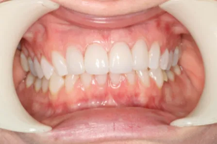
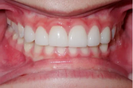
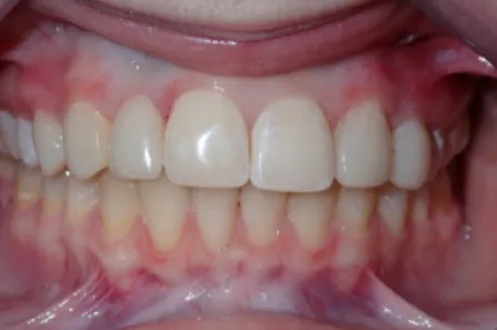
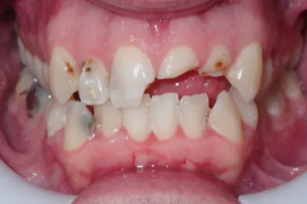
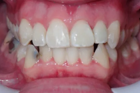
At Grand View Family and Cosmetic Dentistry, we are proud to share real smile transformations from our patients in Appleton, Wisconsin. Each photo in our Smile Gallery reflects the care, precision and advanced techniques our dentists use every day to help patients feel confident in their smiles. These results highlight our commitment to personalized, high-quality care in a welcoming environment. We invite you to explore the gallery and see what is possible. To begin your own transformation, call 920-996-0123 to schedule an appointment with Dr. Stephen Moore, Dr. Nathan Hoftiezer or Dr. Monika Kraft.



















































