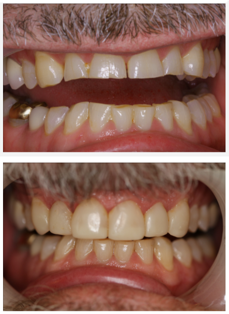
Discover the stunning Smiles and extraordinary dental transformations achieved at Grand View Family and Cosmetic Dentistry. Our Smile Gallery showcases the exceptional skills of our talented team, as they craft radiant, healthy, and confident smiles for our patients. Explore a collection of before-and-after photos, and witness the life-changing results of our comprehensive dental treatments.
 
  
 
 
  
 


 
 

 
 

 
 
 
 

 
 
 
 
 
  
 
 
  
 
 
  
  
  
  
  
  
 